- 2026.02.19
- むし歯を減らすコツは「砂糖の量」より「砂糖の回数」<よくみがいてるんですが、、虫歯になるという方に知ってほしい、スウェーデンの研究とむし歯対策>
むし歯を減らすコツは「砂糖の量」より「砂糖の回数」 <よくみがいてるんですが、、むし歯になるという方に知ってほしい、スウェーデンの研究とむし歯対策> —北欧研究(Vipeholm・Turku)でわかった、今日…
READ MORE
ライフ歯科・矯正歯科は、歯の健康を「咬み合わせ」からトータルに治療していく
大阪 心斎橋の歯科・矯正歯科医院です。
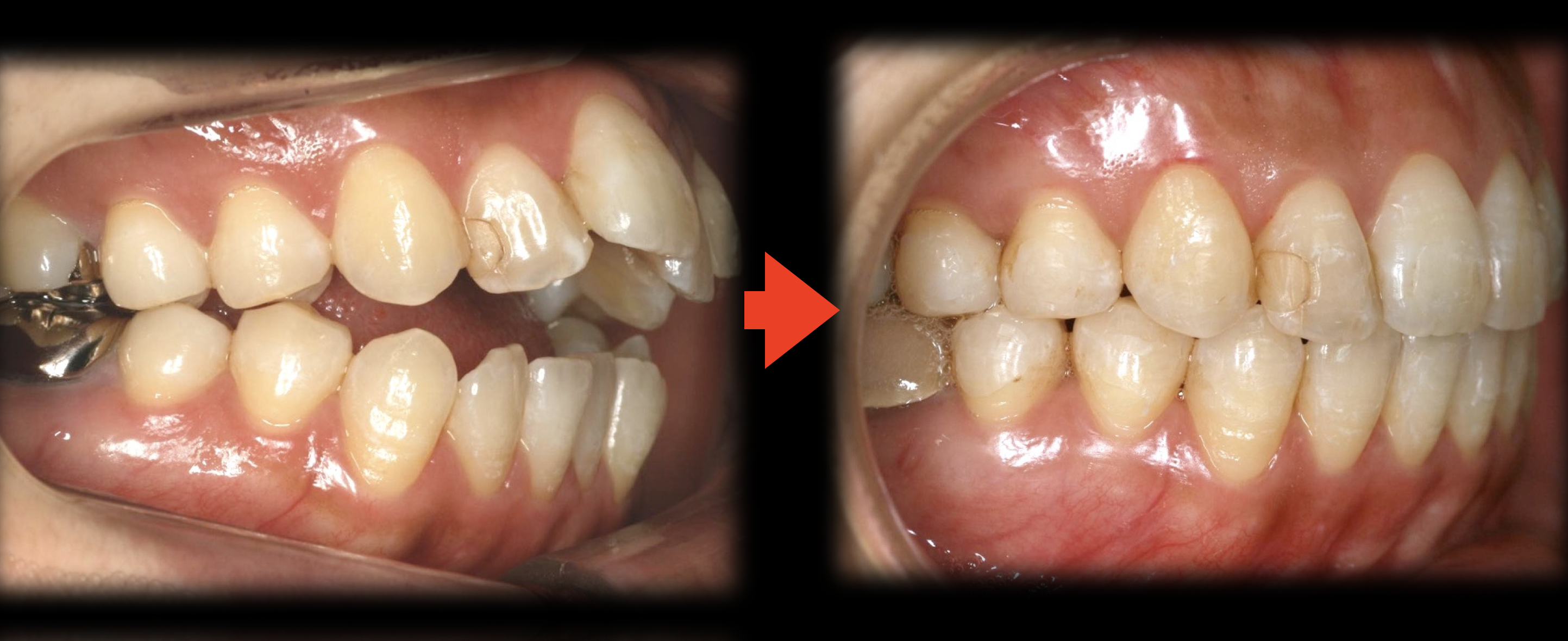
咬み合わせが正常になることで、虫歯や歯周病、歯の見映えなどが改善されます。
心斎橋という洗練された街で、患者様の口元を美しく健康に。
ライフ歯科・矯正歯科は、輝ける人生(ライフ)をお届けします。






「美しく健康な歯を維持する」ことを目指すアプローチで、患者様に合わせた治療をご提案します。
一人ひとりのライフスタイルを考えて、患者様に合った治療をご提案しています。



むし歯を減らすコツは「砂糖の量」より「砂糖の回数」 <よくみがいてるんですが、、むし歯になるという方に知ってほしい、スウェーデンの研究とむし歯対策> —北欧研究(Vipeholm・Turku)でわかった、今日…
READ MORE
ライフ歯科矯正歯科でのTADs(矯正用アンカースクリュー)の位置づけ 当院 ライフ歯科矯正歯科 では、患者さんの状態に応じて 矯正用アンカースクリュー(TADs) を活用し、より正確で、負担の少ない歯の移動を…
READ MORE
歯を抜かない矯正治療は「舌癖改善」も重要です 「できるだけ歯を抜かずに矯正したい」 この希望はとても自然です。実際、状態によっては 『歯を抜かない矯正』(非抜歯矯正)で、見た目もかみ合わせも十分に…
READ MORE
歯を抜かないこと(=自分の天然歯をできるだけ残すこと)には、多くのメリットがあります。 歯を抜かないことのメリット 1. 噛む力・機能を維持できる 天然歯は、義歯やインプラントよりも噛む力が強く…
READ MORE